• Una operación innovadora y de alta complejidad permitió que una joven istmeña tuviera una nueva oportunidad de vida.

Tras resultar gravemente lesionada en la columna cervical a causa de un accidente en motocicleta, y con pocas probabilidades de sobrevivir, fue intervenida de manera inmediata por un equipo de 12 profesionales de la salud del Hospital General Dr. Aurelio Valdivieso.
Dos intervenciones quirúrgicas que duraron en promedio cuatro horas y un proceso médico revolucionario, lograron que la joven de 24 años de edad tenga nuevamente la posibilidad de volver a caminar.
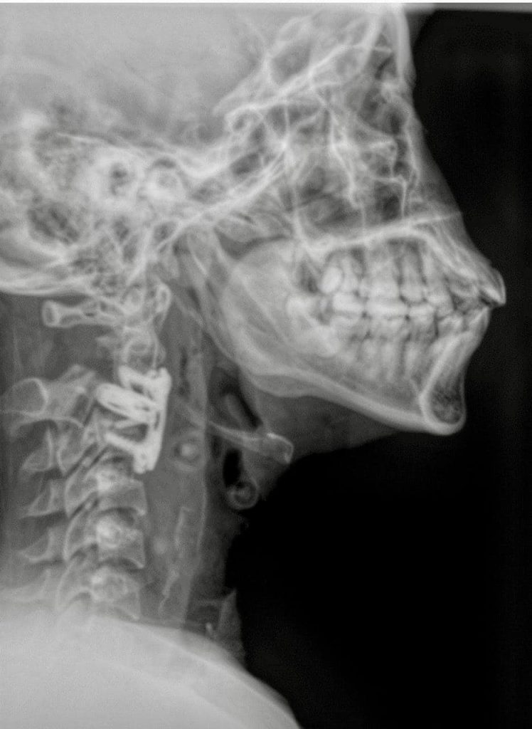
El Dr. Bernardo Herrera Juárez, médico adscrito al Servicio de Traumatología y Ortopedia de este centro médico, y quien lideró dicha intervención quirúrgica relata que la paciente ingresó con una luxación en el cuello, un área sumamente peligrosa, ya que se encuentran las vértebras cercanas al cráneo y los centros respiratorios y del corazón, “si estos se dañan es sumamente difícil que una persona pueda volver a tener movilidad o inclusive sobrevivir”.
Durante la primera cirugía le colocaron un halo cefálico en el cráneo, que permitió dar tracción a la vértebra luxada y acomodarla nuevamente en su lugar, dos días después se realizó un segundo procedimiento en el que se le colocó una caja especial de titanio expandible y bloqueada para fijar la vértebra, aparato diseñado y donado por el hospital con un valor de 45 mil pesos.


“Otros pacientes con una lesión mucho menor tienen pronósticos no favorables con sección medular y sin movilidad para siempre en las extremidades; en el caso de esta paciente, tras investigaciones médicas realizadas, logramos crear un aparato (caja intersomatica bloqueada) que mejorará la vida de pacientes con este diagnóstico y tener una mayor esperanza de recuperación”, mencionó el Dr. Bernardo en entrevista para Central Q Noticias.
“Estamos muy orgullosos de la labor que realiza el Hospital Dr. Aurelio Valdivieso y de su personal, un centro médico de segundo nivel, pero que hace procedimientos de alta especialidad y de calidad”, enfatizó Pedro Aarón Santiago Martínez, director del nosocomio, quien reconoció el trabajo y la empatía de las y los médicos, al realizar y donar este tipo de implantes.
“Ahorita, la joven, ya se encuentra en periodo de rehabilitación, moviendo todas sus extremidades y con todas sus facultades físicas y mentales al 100%”, refirieron los médicos.
#CentralQNoticias#Oaxaca#NoticiasServicios de Salud de Oaxaca